Сила Сибири. 
 И мы – не газопровод.

Наука и технологии

Статьи и новости рубрики "Наука и технологии"

Учёные ТГУ: ИИ-тренажёр для улучшения образовательных программ

Ученые ТГУ придумали новый ИИ-тренажёр, который улучшит качество образовательных программ, а также подскажет, какие функции можно передать искусственному интеллекту, а какие оставить за преподавателями.

Андрей Тихонов

Интернет и ИТОбразованиеНаука и технологииТомск

275

21.05.2026

В Новосибирске скончался академик Александр Боровков

В Новосибирске на 95 году жизни скончался академик Александр Боровков. Об этом рассказали в издании «ндн.инфо». Александр Боровков перебрался в Новосибирск в 1960 году. Он стоял у истоков основания отдела теории вероятностей и математической статистики в Институте математики СО АН СССР.

It`s my life...Наука и технологииНовосибирск

812

19.05.2026

РепринтЪ. Как грозопеленгаторы разоблачают черных лесорубов и сохраняют леса

Пять лет назад Бабр писал: Ранее Бабр рассказывал о разработанном иркутскими учеными грозопеленгаторе, который планируют установить в Бурятии. Позднее стало известно, что еще в 2019 году три подобных устройства предлагали приобрести для Иркутской области.

Есения Линней

Наука и технологииЭкологияРоссия Иркутск Бурятия

8318

17.05.2026

Слёзы счастья и грусти одинаковые по составу, но разные по ощущениям

Люди считали, что слёзы счастья и слёзы горя различаются по составу. Однако учёный из ТПУ сообщил обратное. Несмотря на то что слёзы являются достаточно сложной биологической жидкостью, эмоциональная составляющая на её состав не влияет. Всему виной человеческие ощущения.

Андрей Тихонов

Наука и технологииЗдоровьеТомск

2742

15.05.2026

В Новосибирске выявили больше 20 случаев ненадлежащего содержания мусорных контейнеров

В Новосибирске выявили 23 случая ненадлежащего содержания контейнерных площадок со стороны управляющих компаний. Об этом сообщили в пресс-службе городской мэрии. «С начала мая рейды состоялись на территориях Кировского, Дзержинского, Калининского, Первомайского районов.

ЭкологияНаука и технологииНовосибирск

4333

14.05.2026

Пятый не лишний. Томский учёный будет мотать срок с новосибирскими коллегами

Четырём новосибирским физикам вынесли приговор за госизмену. Пятый фигурант получил 12,5 года лишения свободы в колонии строгого режима, а защита учёного решение суда комментировать отказалась. Этим подсудимым оказался коллега Валерия Звегинцева — Владислав Галкин из Томска.

Андрей Тихонов

КриминалНаука и технологииСкандалыТомск Новосибирск

2798

13.05.2026

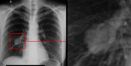
Учёные ТГУ: новый сенсор для эффективного лечения онкологии

Учёным ТГУ удалось создать сенсоры, способные увеличивать эффективность лучевой терапии для онкобольных. Клинические испытания пройдены, а действенность сенсоров доказана. В ближайшее время изобретение применят в экспериментальной установке ионной лучевой терапии.

Андрей Тихонов

Наука и технологииЗдоровьеТомск

3153

11.05.2026

Солнце как ресурс: Монголия делает ставку на новую энергетику

Монгольское руководство пытается постепенно сместить акценты в энергетике. В 2026 году сразу в пяти аймаках должны заработать солнечные электростанции. В первую очередь обсуждаются проекты в Орхоне и Уверхангае, а также в Хэнтийском, Дундговьском и Говьсумбэрском аймаках.

Эрнест Баатырев

Наука и технологииЭкологияЭкономикаМонголия

11975

06.05.2026

Гигантское зеркало Байкала: итоги викторины Бабра

Береговая линия Байкала очень разнообразна: здесь есть и песчаные пляжи с плавными изгибами, и скалистые выступы, о которые бьются волны, и крутые берега, поросшие тайгой. Разные участки берега называют мысом, заливом, губой, бухтой или сором. Телеграм-канал «Бурятия. Бабр.

Есения Линней

Наука и технологииЭкологияБайкал Бурятия Иркутск

16323

02.05.2026

Монгольский университет науки и технологий будет сотрудничать с аймаком Хувсугул

Администрация аймака Хувсугул и Монгольский университет науки и технологий подписали меморандум о сотрудничестве. Об этом сообщает ИА «Монцамэ». Стороны займутся профориентацией школьников и студентов, а также организуют очные и онлайн-тренинги для развития кадрового потенциала.

Наука и технологииОбразованиеМонголия

2474

27.04.2026

В Томске с 28 по 30 апреля пройдёт форум «Кардиология XXI века»

В Томске с 28 по 30 апреля пройдет шестой всероссийский научно-образовательный форум «Кардиология XXI века: альянсы и потенциал». В программе – более 20 секций и десять мастер-классов для кардиологов, терапевтов, реаниматологов, хирургов и медсестер.

ЗдоровьеНаука и технологииТомск

2716

27.04.2026

Тайна горы Сайджрах: о следах динозавров, найденных в монгольских степях

Палеонтологи Монголии обнаружили следы динозавров, о которых наука знала, но не могла найти более полувека. Они сохранились там, где когда-то было озеро. Находка поменяла представление о том, где и как жили доисторические животные. Бабр рассказывает об удивительном открытии.

Есения Линней

Наука и технологииИсторияМонголия

3765

26.04.2026

Национальный музей «Чингис хаан» в Монголии будет сотрудничать с историками Казахстана

Национальный музей «Чингис хаан» в Монголии и казахстанский Институт истории и этнологии имени Ч. Ч. Валиханова заключили меморандум о взаимопонимании и сотрудничестве. Об этом сообщает ИА «Монцамэ».

Наука и технологииМонголия

2830

22.04.2026

Учёные ТГУ: статистика таяния алтайских ледников и зарегистрированный реагент

Учёные ТГУ совместно с коллегами из Института географии РАН отслеживают процесс таяния российских ледников на Алтае. Вместе с учёными по всему миру они выяснили, что с 1970–1980 годов по настоящее время скорость таяния ледников увеличилась в три раза.

Андрей Тихонов

ЗдоровьеЭкологияНаука и технологииТомск

16807

22.04.2026

Мамонт из монастыря: в красноярском Удачном откопали древние кости

В микрорайоне Удачный на территории Успенского монастыря археологи обнаружили древние останки. Во время раскопок перед строительством нового колейного корпуса специалисты нашли кости мамонта и скелет лошади. Возраст находки оценивают примерно в 11 700 лет.

Наука и технологииКрасноярск

2919

20.04.2026

На Ольхоне будут строить антенный комплекс в рамках НГК

В местности Харикта на Ольхоне стартует первый этап строительства антенных систем. Проект получил положительное заключение Главгосэкспертизы и станет частью Национального гелиогеофизического комплекса, сообщает пресс‑служба Главгосэкспертизы России.

Наука и технологииБайкал Иркутск

3910

18.04.2026

Королёв, Решетнёв и Гагарин. Итоги викторины Бабра

В минувшие выходные Бабр проводил викторину, касающуюся космической тематики. Вопрос был с подвохом, наверное, поэтому верный вариант ответа оказался аж на третьем месте. Михаил Решетнёв набрал 40% голосов. И да, конечно же, он был в Красноярском крае.

Анна Роменская

ИсторияНаука и технологииОбществоКрасноярск

4826

17.04.2026

В Монголии могут создать Единый национальный фонд научных исследований

На заседании парламента Монголии 16 апреля депутаты обсудили новые поправки в закон о науке и технологических инновациях. Они предполагают создание при правительстве Единого национального фонда научных исследований, который в будущем хотят превратить в дата-центр. Об этом сообщает ИА «Монцамэ».

Наука и технологииМонголия

3430

16.04.2026

Не только мусор. Байкал начали травить лекарствами

История с загрязнением Байкала обычно звучит одинаково: туристы, мусор, сточные воды, перегруженные берега. Но последние данные ученых добавляют к этому списку новую и куда менее очевидную проблему — фармацевтическое загрязнение. Причём уже не только у берега, а на глубине.

Анна Моль

Наука и технологииЭкологияИркутск Байкал

20841

16.04.2026

Байкал глазами ссыльного: итоги викторины Бабра

Этот зоолог, сосланный в Сибирь после восстания 1863-1864 годов, жил в посёлке Култук и провёл там фундаментальные исследования фауны Байкала. Учёный впервые описал живородящие свойства голомянки, дал научное описание бычка‑желтокрылки и открыл более 100 новых видов гаммарид.

Есения Линней

Наука и технологииИсторияЭкологияБайкал Бурятия Иркутск

20230

14.04.2026

Красноярские ученые придумали, как использовать тараканов в космосе

Ученые Сибирского федерального университета и Института биофизики СО РАН предложили внедрить тараканов в системы жизнеобеспечения космических станций. Насекомые отлично справляются с перевариванием целлюлозы, которая остается от несъедобных частей растений.

Наука и технологииКрасноярск

3560

13.04.2026

В Шегарскую райбольницу поступила лор-установка стоимостью около миллиона рублей

В Шегарскую райбольницу поступило новое оборудование для проведения медосмотров, диагностики и лечения лор-заболеваний. Лор-установка и видеокамера для проведения эндоскопических исследований стоимостью почти один миллион рублей приобретены за счет средств ОМС. И.о.

ЗдоровьеНаука и технологииТомск

3982

10.04.2026

Археологи спасут стоянку древних людей перед строительством дороги в красноярском Солнечном

В красноярском микрорайоне Солнечный проведут археологические раскопки перед строительством новой автомобильной дороги. Трасса пройдет по Молодежному проспекту от дома №31 до Преображенской улицы. На этом участке еще в 2017 году исследователи обнаружили стоянку древних людей.

Наука и технологииТранспортКрасноярск

3816

08.04.2026

Учёные ТГУ: защита краснокнижных птиц и отечественный метилпарабен

Учёные ТГУ находятся в процессе разработки подхода к охране птиц из Красной книги. В период с 2002 года по 2025 год численность трёх видов таких птиц сильно снизилась, поэтому учёные поставили перед собой задачу сохранить их.

Андрей Тихонов

Наука и технологииТомск

6857

07.04.2026

Блогнот. Вряд ли стоит ждать согласованной человеколюбивой позиции...

Ещё хотелось бы сказать пару слов про очевидные экономические аспекты блокировки Телеграма. За несколько последних лет так сложилось, что Телеграм стал не только площадкой для сотен тысяч чатов и форумов, но и рекламной площадкой для многих бизнесов.

Наталья Касперская

Интернет и ИТЭкономикаНаука и технологииРоссия

5335

07.04.2026

Разрушительный смерч на Байкале: итоги викторины Бабра

Атмосферные вихри над водной поверхностью наблюдаются и на Байкале. Смерчи здесь чаще всего появляются в конце лета и осенью из‑за резкого контраста температур: тёплый воздух над озером сталкивается с холодными потоками с горных хребтов.

Есения Линней

ИсторияНаука и технологииБайкал Бурятия Иркутск

5928

30.03.2026

На Байкале искали предвестники землетрясений в становых трещинах

Учёные Института земной коры СО РАН и Геологического университета Сейсмологического бюро Китая в феврале-марте провели экспедицию на лёд Байкала в районе Бугульдейки. Об этом сообщает пресс-служба ИНЦ СО РАН.

Наука и технологииБайкал Иркутск

4277

30.03.2026

Учёные ТГУ: новый эффективный катализатор и 24 запатентованных сорта декоративных растений

Учёным-химикам из Томского госуниверситета удалось разработать новую улучшенную версию катализатора, способствующего получению молочной кислоты из глицерина. Этот ускоритель оказался в два раза эффективнее предыдущей версии.

Андрей Тихонов

Наука и технологииЭкологияТомск

26260

27.03.2026

Трансплантацию костного мозга хотят делать в ИОДКБ

Возможность проведения трансплантации костного мозга прорабатывают в Иркутской областной детской клинической больнице.

ЗдоровьеНаука и технологииИркутск

4488

25.03.2026

Байкал напомнил, кто здесь главный

Никто уже толком и не вспоминает, как громко еще недавно звучали разговоры о «зачистке» берегов Байкала. О сносах, о незаконных постройках, о том, что великий водоем нужно срочно освобождать от всего лишнего — домов, турбаз, причалов, сараев и даже человеческих судеб.

Анна Моль

ЭкологияНаука и технологииНедвижимостьИркутск Байкал

25842

24.03.2026

В Новосибирске назначили временного директора СУНЦ НГУ

В Новосибирске назначили временного директора Специализированного учебно-научного центра Новосибирского государственного университета. Им стала Ольга Петровская. Об этом этом рассказали в издании «Континент Сибирь». Ольга Петровская приступила к своим обязанностям 23 марта.

Наука и технологииНовосибирск

4803

23.03.2026

В Новосибирске скончался бывший директор института цитологии и генетики

20 марта в Новосибирске в возрасте 92 лет скончался бывший директор Института цитологии и генетики СО РАН Владимир Шумный. Об этом сообщили в пресс-службе института. Владимир Шумный приехал в Академгородок в 1958 году. Он возглавлял Институт цитологии и генетики с 1985 по 2007 года.

It`s my life...Наука и технологииНовосибирск

4674

23.03.2026

РУСАЛ меняет технологию производства алюминия

Компания РУСАЛ начала программу замены технологии производства алюминия ЭкоСодерберга на своих заводах. Завершены промышленные испытания первого в мире электролизера с инертными анодами.

Ярослава Грин

Наука и технологииЭкономикаИркутск

12798

23.03.2026

В Прибайкалье и Бурятии начались совместные исследования верхней атмосферы

В Иркутской области и Бурятии начались совместные комплексные исследования температурного режима верхней атмосферы. Работы идут одновременно на радаре некогерентного рассеяния около Усолья-Сибирского и комплексе оптического мониторинга в селе Торы в Бурятии.

Наука и технологииИркутск Бурятия

4923

19.03.2026

Красноярские ученые придумали очищать промышленные стоки обычным мелом

Ученые Красноярского научного центра СО РАН предложили дешевый и быстрый метод очистки промышленных стоков от опасных примесей алюминия. Инновация базируется на использовании обычного карбоната кальция — известняка, мрамора или мела, запасы которых в России огромны.

Наука и технологииКрасноярск

4934

18.03.2026

Учёные ТГУ: голографические камеры и подводные обсерватории

Учёные ТГУ планируют использовать свою разработку в подводных обсерваториях. Голографические камеры смогут в реальном времени следить за состоянием планктона, благодаря чему можно будет выявлять загрязнения водных объектов на ранних стадиях.

Андрей Тихонов

Наука и технологииЭкологияТомск

26145

17.03.2026

Инсайд. СКИФ выходит на финишную прямую

Заявление полпреда президента в Сибирском федеральном округе Анатолия Серышева о том, что научное оборудование для Центра коллективного пользования «СКИФ» готово на 100%, — это не просто очередной этап большой стройки.

Ярослава Грин

Наука и технологииНовосибирск

12703

17.03.2026

В Архангельск для «ловли льда» прибыл МС-21-310

В Архангельск для прохождения сертификационных испытаний в естественных условиях обледенения прибыл ещё один импортозамещённый самолёт МС-21-310. Об этом сообщается в телеграм-канале ПАО «Объединённая авиастроительная корпорация». Самолёт прилетел самостоятельно из подмосковного Жуковского.

ТранспортНаука и технологииИркутск

5177

16.03.2026

Неубиваемый червь Байкала: итоги викторины Бабра

Этот обитатель Байкала поражает своей способностью восстанавливать утраченные части тела – даже из небольшого фрагмента может развиться полноценный организм. По своей сути – это плоские черви, которые отличаются большим разнообразием в озере, а около 50 видов является эндемиками.

Есения Линней

Наука и технологииЭкологияБайкал Бурятия Иркутск

32149

14.03.2026

В Новосибирске уволилась директор СУНЦ НГУ

В Новосибирске директор Специализированного учебно-научного центра Новосибирского государственного университета Людмила Некрасова может покинуть свой пост. Об этом сообщил источник издания «Континент Сибирь».

Наука и технологииОбразованиеНовосибирск

6158

13.03.2026

Учёные ТГУ: новая программа обучения для микробиологов и биотехнологов

Учёные Томского госуниверситета запускают новую программу для подготовки специалистов в сферах микробиологии и биотехнологии.

Андрей Тихонов

Наука и технологииЗдоровьеСобытияТомск

7466

11.03.2026

Цифровой воздух за 32 миллиона: как Красноярск семь лет боролся со смогом без науки

История с красноярским смогом, похоже, выходит на новый уровень. Власти решили наконец разобраться, что именно происходит с воздухом в городе. Но цена вопроса — минимум 32 миллиона рублей и два года ожидания. И возникает логичный вопрос: а чем тогда занимались все предыдущие годы?

Анна Моль

Наука и технологииЭкономикаЗдоровьеКрасноярск

7088

11.03.2026

Цифровой двойник за ₽32 миллиона: ученые смоделируют атмосферу Красноярска

Ученые создадут цифрового двойника атмосферы Красноярска, чтобы выяснить, как незамерзающий Енисей и плотная городская застройка влияют на качество воздуха. Стоимость амбициозного проекта оценивают почти в 32,2 миллиона рублей.

Наука и технологииЭкологияКрасноярск

23146

10.03.2026

Археологическая сенсация: в красноярском угольном разрезе нашли орудия труда возрастом 100 тысяч лет

В Балахтинско-Новоселовском округе Красноярского края археологи совершили открытие, способное изменить научные представления о заселении Сибири. При обследовании территории будущего угольного разреза специалисты нашли каменные орудия труда, возраст которых превышает 100 тысяч лет.

Наука и технологииКрасноярск

6265

06.03.2026

Учёные ТГУ – о новых спектральных сенсорах и выбросах парниковых газов

Учёные ТГУ разработали для одной из самых современных установок в мире уникальные спектральные сенсоры на основе арсенида галлия, компенсированного хромом.

Андрей Тихонов

Наука и технологииЭкологияТомск

30150

05.03.2026

В Верхнекетскую райбольницу поступило современное оборудование стоимостью 6,5 миллиона рублей

В поликлиническое отделение Верхнекетской районной больницы поступило новое современное оборудование: портативный аппарат ультразвуковой диагностики стоимостью 5,9 миллиона рублей, дополнительная стоматологическая установка стоимостью 462 тысячи рублей и компрессор к ней стоимостью 96 тысяч рублей.

ЗдоровьеНаука и технологииТомск

5871

05.03.2026

Древние строители в Хакасии использовали священные камни как обычный кирпич

Археологи Института истории материальной культуры РАН нашли в курганах Аскизского района Хакасии каменные плиты с древними рисунками. Ученые исследовали два могильника, которые люди использовали более трех тысяч лет — начиная с третьего тысячелетия до нашей эры.

Наука и технологииХакасия

6181

02.03.2026

Спасение артефактов перед благоустройством: археологи зайдут в центр Красноярска

В центре Красноярска на улице Сурикова пройдут масштабные спасательные археологические работы. Перед началом благоустройства специалисты должны исследовать и сохранить артефакты культурного слоя XVIII – начала XX века. Городские власти уже объявили торги на поиск подрядчика.

БлагоустройствоНаука и технологииКрасноярск

6103

02.03.2026

Первая путеводная звезда Байкала: итоги викторины Бабра

Запуск паромной переправы через Байкал стал точкой перезагрузки всего побережья. Ради безопасной навигации акваторию озера впервые системно исследовали. Судоходство стало предсказуемее, а значит, удобнее для торговли и рыбного промысла.

Есения Линней

Наука и технологииИсторияБурятия Байкал Иркутск

8564

28.02.2026

20 лет исследований: красноярский краевед пересчитал все скалы на Столбах

Красноярский краевед Владимир Матвеев подсчитал точное количество скал на территории национального парка «Красноярские Столбы». На эту работу исследователь потратил около 20 лет, собирая данные в походах и общаясь с опытными туристами.

Наука и технологииТуризмКрасноярск

6345

26.02.2026

Последние новости

21.05 22:21
В Монголии построят ГЭС мощность 30 МВт на реке Байдраг

21.05 20:51
Инсайд. «Хочу миллион в месяц и ничего не делать»

21.05 19:58
Руководство аймака Дорнод в Монголии обсудило сотрудничество с корейскими инвесторами

21.05 18:58
В улусе Бурятии подтопило 13 приусадебных участков. Прокуратура начала проверку

21.05 18:43
Капитан красноярской полиции попался на взятке. Ранее жена упрекала его в низком доходе

21.05 18:42
Ради нового района: власти Красноярска утвердили снос жилых домов на правобережье

21.05 17:59
Четыре года строгого режима: экс-начальника красноярской ГИБДД осудили за торговлю «красивыми» номерами

21.05 17:58
Летний коллапс: какие улицы Красноярска встанут в глухие пробки из-за ремонта

21.05 17:23
Мэрия Иркутска заплатит 250 тысяч за упавшую на ребёнка скамейку

21.05 17:17
Тренер отправится в колонию за сокрытие изнасилования мальчика в летнем лагере в Красноярском крае

21.05 17:16
«Моспроект-3» получил добро на депо: как продвигается строительство красноярского метро

21.05 17:12
«Россия» потеряла цвет в Красноярске

21.05 17:05
Вода наступает: в Сосновоборске могут уйти под воду еще 20 участков

21.05 17:01
В Новосибирске пять человек задержали по делу о мошенничестве с «Пушкинской картой»

21.05 15:56
МЧС Бурятии предупреждает о повышенной лавинной опасности в горных районах

21.05 15:38
В Новосибирске за сутки вывезли 360 кубометров мусора

21.05 15:16
Мэрия Братска берёт в кредит 350 миллионов

21.05 15:02
Седьмой город Китая: аэропорт Красноярска анонсировал новый прямой рейс на лето

Лица Сибири

Букрей Юлия

Потехин Александр

Кибирев Василий

Вельм Оксана

Михайлов Степан

Володин Вячеслав

Пономаренко Сергей

Скробот Василий

Торопов Михаил

Белов Александр